La caries dental es una enfermedad común en niños que se caracteriza por la destrucción progresiva de los tejidos dentales. Aunque se considera multifactorial, es decir, que varios factores contribuyen a su aparición, es importante comprender cada uno de ellos para prevenir y tratar eficazmente esta afección. En este artículo, exploraremos los principales factores de caries en niños, analizando su impacto y cómo abordarlos de manera efectiva.
1. La falta de higiene oral:
La higiene oral deficiente es uno de los factores clave en el desarrollo de la caries dental en niños. La falta de cepillado regular y el incorrecto uso del hilo dental permiten que los restos de alimentos y las bacterias se acumulen en los dientes, formando la placa bacteriana. Esta placa produce ácidos que atacan el esmalte dental, conduciendo a la formación de caries.

2. Dieta altamente cariogénica aumenta el riesgo de caries en niños:
Una dieta rica en azúcares y carbohidratos fermentables es un factor de riesgo importante para la caries dental en niños. Los alimentos y bebidas azucaradas alimentan a las bacterias en la boca, generando ácidos que dañan el esmalte dental. El consumo frecuente de dulces, snacks y bebidas azucaradas aumenta el riesgo de caries.

3. Trasmisión bacteriana:
La transmisión de bacterias cariogénicas de los padres u otros cuidadores a los niños es otro factor relevante en la aparición de caries. A través de prácticas como compartir utensilios o alimentos, las bacterias pueden transferirse de una boca a otra, aumentando el riesgo de infección dental en los niños.

4. Alimentación nocturna:
La alimentación nocturna, especialmente con biberón o tetina, es un factor de riesgo importante para la caries en los niños. Durante el sueño, la producción de saliva disminuye, lo que reduce la capacidad de limpiar y neutralizar los ácidos en la boca. Si se permite que los líquidos azucarados permanezcan en contacto con los dientes durante la noche, aumenta el riesgo de caries severa.

5. Visitas tardías al dentista:
Retrasar las visitas al dentista es un factor que contribuye a la progresión de la caries en los niños. Las revisiones dentales regulares permiten la detección temprana de caries incipientes y la implementación de medidas preventivas. Al descuidar las visitas dentales, las lesiones cariosas pueden avanzar sin ser tratadas, causando daño irreversible en los diente.

6. Insuficiente uso del flúor:
El flúor es un mineral esencial en la prevención de la caries dental. Su uso adecuado fortalece el esmalte dental y ayuda a prevenir la desmineralización. Sin embargo, la falta de exposición adecuada al flúor, ya sea a través de la pasta dental fluorada o el agua potable fluorada, puede aumentar el riesgo de caries dental en niños se incrementa cuando hay una insuficiente exposición al flúor. El flúor fortalece el esmalte dental y ayuda a prevenir la desmineralización, reduciendo así el riesgo de caries. Es fundamental asegurarse de que los niños utilicen una pasta dental fluorada adecuada a su edad y que consuman agua potable fluorada si está disponible en su área.

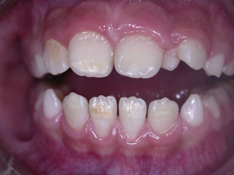
7. Defectos en el esmalte y riesgos de caries en niños:
Algunos niños pueden presentar defectos en el esmalte dental, como hipoplasia o hipomineralización. Estos defectos hacen que el esmalte sea más susceptible a la caries, ya que es más delgado o menos resistente. Es importante detectar estos problemas tempranamente para implementar estrategias de prevención y tratamiento adecuadas.

La caries dental en niños es una enfermedad multifactorial en la que intervienen diversos factores. La falta de higiene oral, una dieta alta en azúcares, la transmisión bacteriana, la alimentación nocturna, las visitas tardías al dentista, el insuficiente uso del flúor y los defectos en el esmalte son factores clave que contribuyen al desarrollo de caries en los niños. Es fundamental tomar medidas preventivas, como una adecuada higiene oral, una dieta equilibrada, visitas regulares al dentista y el uso de flúor, para proteger la salud dental de los niños y prevenir la aparición de caries.